Web Analytics Made Easy - Statcounter

Implant Access Hole Filling Came Out? Here’s What to Do Help filling a hole please!

If you are searching about A hole was prepared in the barrier and fixed to the coverscrew of the you've visit to the right place. We have 25 Pics about A hole was prepared in the barrier and fixed to the coverscrew of the like Opaquing an Implant Access Hole - Restorative Nation, My dental implant fell out, what should I do? and also Importance of the Implant Screw Access Channel Location: Development of. Here you go:

A Hole Was Prepared In The Barrier And Fixed To The Coverscrew Of The

A hole was prepared in the barrier and fixed to the coverscrew of the www.researchgate.net

Importance Of The Implant Screw Access Channel Location: Development Of

Importance of the Implant Screw Access Channel Location: Development of pocketdentistry.com

screw implant access channel integrator importance radiographic device locating development location fig

Closing Implant Screw Access Holes Biomimetically

Closing Implant Screw Access Holes Biomimetically www.clarencetam.co.nz

closing holes implant screw voco

Implant Abutment Screw Access Holes Were Filled With Sealing Materials

Implant abutment screw access holes were filled with sealing materials www.researchgate.net

Access Hole - Definition Of Access Hole

Access hole - Definition of Access hole www.healthbenefitstimes.com

screw hole access implant retained restorations sealing prosthesis abutment tooth entrance provides lingual occlusal surface replacement opening

Finding The Screw Access Hole

Finding the Screw Access Hole www.dothandson.com

Implant Crowns: Screw-Retained Or Cement-Retained, 47% OFF

Implant Crowns: Screw-Retained Or Cement-Retained, 47% OFF www.micoope.com.gt

Implant Abutment Screw Access Holes Were Filled With Sealing Materials

Implant abutment screw access holes were filled with sealing materials www.researchgate.net

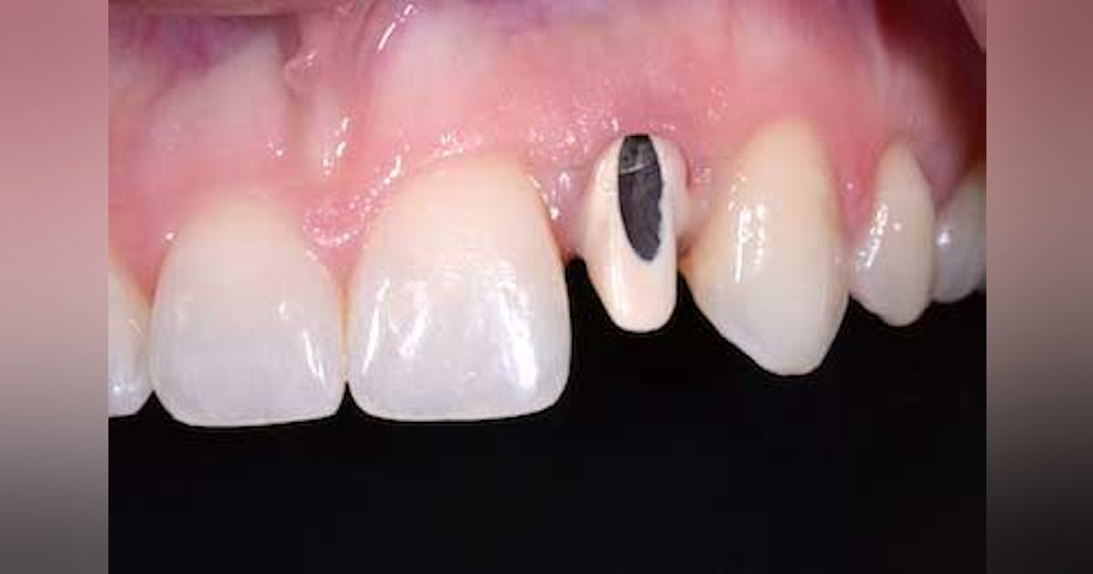
Opaquing An Implant Access Hole - Restorative Nation

Opaquing an Implant Access Hole - Restorative Nation restorativenation.com

hole access implant

Thursday Troubleshooter: What Is Final Restoration In Implant Access

Thursday Troubleshooter: What is final restoration in implant access www.dentistryiq.com

This Month's Clinical Tip From The Editor: 'Help! My Implant Fell Out

This month's clinical tip from the editor: 'Help! My implant fell out www.perioimplantadvisory.com

Broken Implant, Failed At The First Non-locking Hole Of The Side Plate

Broken implant, failed at the first non-locking hole of the side plate www.researchgate.net

My Dental Implant Fell Out, What Should I Do?

My dental implant fell out, what should I do? mexicodentalimplants.com

Close The Access Opening Of Implant Abutments | Perio Implant Advisory

Close the access opening of implant abutments | Perio Implant Advisory www.perioimplantadvisory.com

Broken Implant, Failed At The First Non-locking Hole Of The Side Plate

Broken implant, failed at the first non-locking hole of the side plate www.researchgate.net

Closing Implant Screw Access Holes Biomimetically

Closing Implant Screw Access Holes Biomimetically www.clarencetam.co.nz

holes screw closing

Biotech Dental Kontact Dental Implant | SpotImplant

Biotech Dental Kontact Dental Implant | SpotImplant www.spotimplant.com

FRIDGE® - Global Academy Of Oral Implantology

FRIDGE® - Global Academy of Oral Implantology implantedu.org

How Dental Implants Work - Dental Implants : Dental Implants

How dental implants work - Dental Implants : Dental Implants blog.brightonimplantclinic.co.uk

implants dental work molar implant immediate delayed

How To Repair A Failed Implant Site?

How to repair a failed implant site? www.osseonews.com

Implant Abutment Screw Access Holes Were Filled With Sealing Materials

Implant abutment screw access holes were filled with sealing materials www.researchgate.net

Implant Crowns: Screw-Retained Or Cement-Retained, 47% OFF

Implant Crowns: Screw-Retained Or Cement-Retained, 47% OFF www.micoope.com.gt

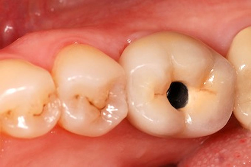
Implant Access Composite Resin Implant Access Composite Resin

Implant Access Composite Resin Implant Access Composite Resin www.clarencetam.co.nz

Help Filling A Hole Please! | DIYnot Forums

Help filling a hole please! | DIYnot Forums www.diynot.com

diynot

When To Fill Implant Crown Access Holes - Restorative Nation

When To Fill Implant Crown Access Holes - Restorative Nation restorativenation.com

Implant abutment screw access holes were filled with sealing materials. Opaquing an implant access hole. How to repair a failed implant site?